CASE-1
患者本身是一位護理師,擔任台北醫美診所的主管,門牙有顆假牙顏色不均的狀況已困擾她許久,由於在時尚醫美診所上班,經常面對許多追求極致美麗的客戶,對於美學也有一定的堅持,於是找上美學地圖牙醫黃院長,希望能改善門牙顏色不均的狀況。經由詳細的資料蒐集,並以數位化方式比對牙齒顏色,在雙方溝通確認後,順利以單顆全瓷牙冠的方式修復顏色不均勻的門牙,患者也非常開心!未來面對客戶不再需要遮掩,可以放心露出自信微笑。



CASE-2
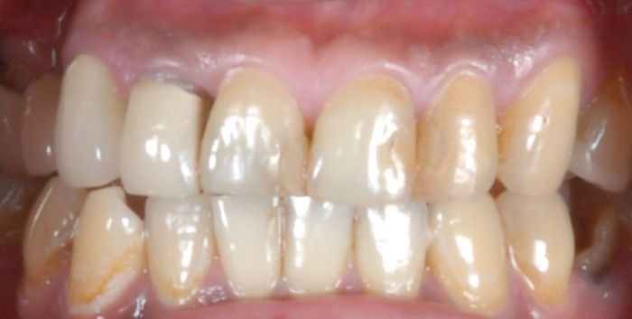
吳先生為科技園區經理,原先做的兩顆門牙假牙,由於金屬材質與體質關係,造成牙齦萎縮且金屬處明顯露出,身為主管的吳先生也因此喪失自信心,心情更是容易受到他人眼光影響,在朋友介紹推薦下,請美學地圖牙醫黃院長幫忙重做假牙,由於吳先生的原生牙齒有齒色不均的問題,在黃院長詳細的比色、選色、塑型,並以豐富經驗搭配多種參數參考,在沒有牙齦補肉的狀況下,完美還原吳先生的兩顆門牙。療程結束之後,吳先生很開心彷彿重生的全瓷冠門牙,也因為特別挑選歐美大廠瓷塊,材質不會刺激牙齦,未來也更放心不再容易萎縮了!



CASE-3
患者是一位年輕帥氣的型男爸爸,一直以來有牙縫過大的問題,經好友推薦找到美學地圖牙醫黃院長評估牙齒貼片,好友之前請黃醫師貼片超過六年時間仍堅固完好,加上黃院長獨到的美學眼光無可比擬,於是型男爸爸決定請黃院長處理牙縫過大的狀況。在黃院長耐心溝通與建議下,選擇微創牙齒貼片的方式,保留絕大部分自然牙齒,以微創牙齒貼片方式塑型關縫,上下總共使用四顆貼片,即順利將牙齒縫隙調整令人滿意的排列,美觀上更是讓型男爸爸滿意至極!


CASE-4
患者本身是高雄人,一直以來有牙齒歪斜、齒列不夠整齊的狀況,由於與穩定交往的女友已論及婚嫁,希望給未來岳母良好印象,於是特地北上找到美學地圖牙醫黃院長,希望能在短時間內完成前牙美學療程。黃院長以獨到的美感與多年經驗判斷,並以專業技術完成上下各兩顆全瓷牙冠及牙齒美白貼片,完成改善齒列歪斜、角度不正之狀況。在無需做牙齒矯正的狀況下,將前排牙齒歪斜的排列調整到自然美觀的整齊狀態,患者大呼神奇,並帶著感謝與開心的心情,順利回高雄提親!



CASE-5
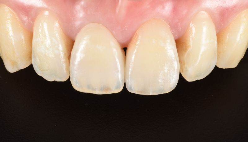
吳先生為科技園區經理,原先兩顆門牙採用金屬材質製作假牙,後續發生牙齦萎縮及金屬黑邊露出,使身為主管的吳先生逐漸擔心他人眼光與觀感。經朋友介紹來到內湖美學地圖牙醫診所,由黃麒元院長重做假牙。黃院長以極致美學標準層層把關下(比色、選色、塑型),並搭配多種參數參考,最後在毋需牙齦補肉的狀況下,還原吳先生的兩顆門牙。


CASE-6
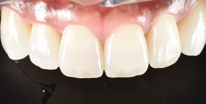
這位患者原本的金屬假牙已不合,露出牙齦黑邊影響美觀,透過內湖美學地圖牙醫診所黃麒元院長重新製作假牙,新的假牙採用全瓷材質一體成型,全程搭配顯微鏡進行療程,使假牙更加貼合且自然美觀。

CASE-7
CASE-8
CASE-9


CASE-10




